日本矯正歯科学会専門医課題症例(第5症例)
カテゴリー: ClassⅢ malocclusion(非抜歯症例)
出題基準:大臼歯関係がclass Ⅲで、少なくとも前歯部が反対咬合または切端咬合で、ANB 0度以下が望ましい。
出題の意味:大臼歯関係がclass Ⅲというのは、下の奥歯が上に対して前にズレていることを示す。ANBとは上下の顎の位置関係を示す数値で、通常は3度くらい。数値が大きいと上顎前突の傾向があり、逆に小さいと下顎前突の傾向がある。条件的にはよく見られる反対咬合のケースなのだが、治療方法を非抜歯に限定しているところに難しさがある。日本人の反対咬合は多くの場合凸凹もひどいことが多いので、抜歯治療を選択する可能性が高い。したがって、非抜歯で治せる条件としては、上の前歯が内側に傾斜しているために反対咬合になっていると判断できて、矯正で上の歯を外に出して問題ないケースで、下の配列には凸凹がほとんどないものと言うことになるが、そういう好条件に恵まれているケースはあまりない。ケースに恵まれば、治療自体はそんなに困難ではないが、長い経験がないとケース的には恵まれないかもしれない。
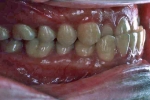
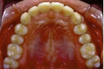
初診時
|
治療中
|
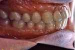
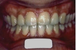
マルチブラケット終了時
|
治療前後の比較
|




















