固定式装置
患者様が自分でははずせないタイプの装置です
 歯科では固有の専門用語がいくつかあります。歯科で言う”印象”とは簡単に言うと「型取りをすること」という意味で、日常生活で使う”印象”とはちょっと違った意味で使われています。このように日常用語と同一のものが全然違った意味で使われていたり、普段は使わないような言葉がいくつかありますが、詳しくは矯正用語集(コラム)をご覧ください。
 固定式装置の”固定”というのは、ここでは「患者様が自分では外せない」つまり「くっついたままになっている」という意味で使っています。これと紛らわしい矯正用語で”固定源”または省略して”固定”という用語がありますが、これは「歯を動かす土台」という意味で使っています。ですので、同じ矯正歯科の世界で使われる”固定”でも、違った意味で使われることがあるわけです。
 ここでは固定式装置の代表例をご紹介します。
 
マルチブラケット装置
 構造
構造
 エッジワイズ法で使うマルチブラケット装置です。歯に付けた四角いボタンのようなものがブラケットで、その中に通してある針金のことをアーチワイヤーと言います。ブラケットとアーチワイヤーは、通常ゴムリングか細いワイヤーで縛って止めてあります。この縛ることを”結紮(けっさつ)”と言います。
 
痛みについて
 初めて装着した日から三日目くらいまでは、だんだん痛みが強くなってくるような感じがしますが、一週間くらい経つとほとんど痛みは感じなくなってきますので、少しの間我慢して下さい。痛み止めのお薬は、歯の動きを遅くする作用がありますので、できれば控えて下さい。唇やほっぺたの裏が、こすれてひりひりすることがありますが、一週間くらいで慣れてきますので心配ありません。口内炎ができて痛いときはシリコンガードをつけて粘膜面を刺激しないようにすると楽になります。
 
食事制限について
 基本的にはふつうのお食事は何を食べてもかまいませんが、ガム、キャラメルのような粘着質のおやつは避けて下さい。また極端に固いお煎餅や、氷の固まりを砕くのは危険ですのでおやめ下さい(2〜3個まとめてはずれることがあります)。
 
歯ブラシについて
 基本的には歯ブラシ程度の力ではずれるようなものではありませんので、普段通りのブラッシングをして下さい。ただし歯の表面に装置が付いているため磨き残しが出やすいので、一本ずつ丁寧に時間をかけて磨くようにしましょう。歯ブラシの毛先が傷みやすいので、早めに交換するようにしましょう。特別に”矯正用歯ブラシ”を使う必要はありませんが、ヘッドの小さいものを選んで下さい。
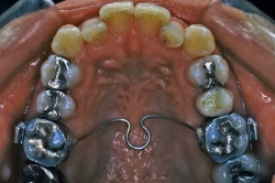
パラータルバー または パラータルアーチ
  構造
構造
 歯に付けたリング状の薄い金属板(バンド)と金属ワイヤーで出来ています。患者様の歯形をお取りして、石膏模型の上で予め製作したものを取り付けます。
 
装置使用の目的
 歯並び全体の横幅を維持するために用いる装置です。奥歯が手前に倒れてこないように、固定源を強化するために用いるときもあります(加強固定と言います)。最も幅の維持が必要な位置に取り付けますので、装置の固定されている位置や形態はいろいろですが、装置の基本構造は同じで、写真のように上顎の裏側の形に合わせて少し太めの針金(0.8-1.2mmくらい)を沿わせ、奥歯に固定したバンドと一緒に一体化させて留めてあります。患者さんが自分で取り外すことはできませんが、調節が必要なときは先生が外して、調整後また留め直すという操作を繰り返していきます。
 
痛みについて
 初めて装着した日から三日目くらいまでは、人によっては痛みを感じる場合もありますが少しの間我慢して下さい。またバンドが固定されていますので、奥歯に物が挟まって取れなくなったときのような違和感が少しありますがこれも2〜3日ですぐ慣れます。痛み止めのお薬を飲むほど痛くなることはありません。舌が、こすれてひりひりすることがありますが、一週間くらいで慣れてきますので心配ありません。口内炎ができて痛いときはシリコンガードをつけて粘膜面を刺激しないようにすると楽になります。
 
食事制限について
 基本的にはふつうのお食事は何を食べてもかまいませんが、ガム、キャラメルのような粘着質のおやつは避けて下さい。また極端に固いお煎餅や、氷の固まりを砕くのは危険ですのでおやめ下さい。
 
歯ブラシについて
 基本的には歯ブラシ程度の力ではずれるようなものではありませんので、普段通りのブラッシングをして下さい。歯の裏側に磨き残しが出やすいので、この部分は丁寧に時間をかけて磨くようにしましょう。歯ブラシの毛先が傷みやすいので、早めに交換するようにしましょう。特別に”矯正用歯ブラシ”を使う必要はありませんが、ヘッドの小さいものを選んで下さい。
 
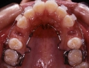
ナンスのホールディングアーチ
 製作したナンス
製作したナンス 口腔内にセット
口腔内にセット 
構造
 パラータルバーと似たような構造ですが、500円玉大の円盤状のパットが、つかえ棒のように張り付いて、奥歯が前にズレて来ないよう押さえるような構造になっています。パラータルバーと同じで、左の図のように、石膏模型上で製作します。
 
装置使用の目的
 マルチブラケット装置や上顎前方牽引装置を使用するときの土台(固定源)として上顎の裏側に装着します。とくに歯の本数を減らしてマルチブラケット装置を付けるような症例の場合、奥歯が抜歯した隙間に寄りすぎると、凸凹をきちんと平らにできなくなったり、前歯が十分に引っ込められなくなったりします。そこで、奥歯が不用意に位置を変えないよう、きちんと固定させるために用います(加強固定)。
 マルチブラケット装置と併用する場合、治療期間の大体半分くらい継続して付けておきますが、治療後半には時期を見て撤去します。
 
痛みについて
 初めて装着した日から三日目くらいまでは、奥歯に物が挟まって取れなくなったときのような違和感があり、人によっては痛みを感じる場合もありますが、一週間くらい経つと慣れてきますので、少しの間我慢して下さい。痛み止めのお薬を飲むほど痛くなることはありません。唇、ほっぺたの裏や舌の横の部分が、こすれてひりひりすることがありますが、一週間くらいで慣れてきますので心配ありません。口内炎ができて痛いときはシリコンガードをつけて粘膜面を刺激しないようにすると楽になります。円盤状のパッドが、しゃべりにくいと感じる方が多いのですが、2週間ぐらいで慣れてきますので我慢してください。
 
食事制限について
 基本的にはパラータルバーと同様です。
 
 
歯ブラシについて
 基本的にはパラータルバーと同様です。
 
装置の清掃について
 自分で取り外すことのできないタイプの装置ですので、装置の調整や清掃は歯科医師、歯科衛生士にお任せ下さい。パッドの裏側の清掃、消毒は装置調整時に基本的に行いますのでご安心下さい。
リンガルアーチ
 構造
構造
 ナンスやパラータルバーと同じように、バンドを使って石膏模型上で製作します。ワイヤーを歯の裏側の形に合わせて軽く接触するように曲げてあり、これを主線と言います。このままで使うこともありますが、裏側から歯を押し出すような力を加えるときには、補助断線を付けて使うときもあります。
 
装置使用の目的
 ①歯を裏側から押し出したり、引っ張ったりするときの土台として使う場合と ②マルチブラケット装置や上顎前方牽引装置を使用するときの土台(固定源)として装着する場合と ③小児期に六歳臼歯が動かないように留めておくために使う場合によく用いられる装置です。それぞれ目的は違っても装置の基本構造は同じで、写真のように歯の裏側に少し太めの針金を沿わせ、奥歯に固定したバンドと一緒に一体化させて留めてあります。患者さんが自分で取り外すことはできませんが、調節が必要なときは先生が外して、調整後また留め直すという操作を繰り返していきます。
 歯を裏側から押し出すために使う場合は、写真のように主線に補助的にスプリングを付けるときもあります。マルチブラケット装置と併用する場合は、治療期間の大体半分くらい継続して付けておきますが、治療後半には時期を見て撤去します。
 
痛みについて
 初めて装着した日から三日目くらいまでは、奥歯に物が挟まって取れなくなったときのような違和感があり、人によっては痛みを感じる場合もありますが、一週間くらい経つと慣れてきますので、少しの間我慢して下さい。補助弾線が付いている場合は、個別に歯の痛みが強く長く続く場合もありますが心配ありません。唇、ほっぺたの裏や舌が、こすれてひりひりすることがありますが、一週間くらいで慣れてきますので心配ありません。口内炎ができて痛いときはシリコンガードをつけて粘膜面を刺激しないようにすると楽になります。
 
食事制限について
 基本的にはふつうのお食事は何を食べてもかまいませんが、ガム、キャラメルのような粘着質のおやつは避けて下さい。また極端に固いお煎餅や、氷の固まりを砕くのは危険ですのでおやめ下さい。
 
歯ブラシについて
 基本的には歯ブラシ程度の力ではずれるようなものではありませんので、普段通りのブラッシングをして下さい。歯の裏側に磨き残しが出やすいので、この部分は丁寧に時間をかけて磨くようにしましょう。またスプリングが付いている場合は、この部分が壊れやすいので特に丁寧に少しずつ磨いて下さい。歯ブラシの毛先が傷みやすいので、早めに交換するようにしましょう。特別に”矯正用歯ブラシ”を使う必要はありませんが、ヘッドの小さいものを選んで下さい。
ポーター型拡大装置(緩徐拡大)
 構造
構造
 リンガルアーチやナンスと同様にバンドと太めのワイヤー(0.8-1.0mm程度)を用いて、石膏模型上で製作します。
 
装置使用の目的
 歯並び全体の横幅を広げるために用いる装置です。もっとも拡大が必要な位置に取り付けますので、装置の固定されている位置や形態はいろいろですが、装置の基本構造は同じで、写真のように歯の裏側に少し太めの針金をW型に沿わせ、奥歯に固定したバンドと一緒に一体化させて留めてあります。患者さんが自分で取り外すことはできませんが、調節が必要なときは先生が外して、調整後また留め直すという操作を繰り返していきます。
 
痛みについて
 初めて装着した日から三日目くらいまでは、拡大する力が歯列全体に伝わりますので、人によっては痛みを感じる場合もありますが少しの間我慢して下さい。またバンドが固定されていますので、奥歯に物が挟まって取れなくなったときのような違和感が少しありますがこれも2〜3日ですぐ慣れます。痛み止めのお薬を飲むほど痛くなることはありません。とくにループと接触する舌の側面が、こすれてひりひりすることがありますが、一週間くらいで慣れてきますので心配ありません。口内炎ができて痛いときはシリコンガードをつけて粘膜面を刺激しないようにすると楽になります。
 
食事制限について
 基本的にはパラータルバーと同様ですが、ワイヤーの長さが長いので食べ物が引っかかりやすくなっています。お餅などは引っかかると外れなくなってしまうこともありますので注意してください。
 
歯ブラシについて
 基本的には歯ブラシ程度の力ではずれるようなものではありませんので、普段通りのブラッシングをして下さい。小臼歯の裏側にワイヤーが接触しているのでこの部分に磨き残しが出やすくなっています。この部分は丁寧に時間をかけて磨くようにしましょう。歯ブラシの毛先が傷みやすいので、早めに交換するようにしましょう。特別に”矯正用歯ブラシ”を使う必要はありませんが、ヘッドの小さいものを選んで下さい。
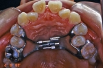
急速拡大装置(スケルトンタイプ)
 拡大前
拡大前 拡大後構造
拡大後構造
 通常は、左右の第一小臼歯と左右第一大臼歯にバンドを付け(合計4個)、それぞれを太いワイヤー(直径2mmくらい)でつなぎ、中央にネジで開く構造になっているミニチュアサイズのジャッキを付けてあります。この装置も、石膏模型上で作製します。
 
装置使用の目的
 上顎急速拡大装置は上顎骨自体の幅を左右に拡大するための装置です。中央のネジを回すことによって短期間に上顎の横幅を拡大します。バンドはしっかりと歯に接着剤で止められているため、患者様自身が取り外すことは不可能ですから、取り付け後は専用のネジ回しを使って、おうちの方に手伝ってもらって拡大操作をします。通常、1日に1/4回転、1日に付き0.2mmのスピードで拡大を行います。従って10日で2mm、30日で6mmの拡大を行う事になり、矯正治療で歯を移動する速度よりは非常に早いスピードのため急速拡大を命名されています(通常の矯正治療では1か月で1mm程度しか動かせません)。拡大する部位は上顎の正中口蓋縫合と呼ばれる骨のつなぎ目の部分で、ここを強制的に開いて上顎を左右に分離させます。ちょうど人工的に骨折させて広げた位置で癒合させるという感じです。拡大後の写真で、前歯の間が開いているのがお分かりでしょうか。この分だけ骨自体が左右に広がっているわけです。
 しかし、この正中口蓋縫合を自然に開くことのできるのは思春期までです。正中口蓋縫合部が完全に癒合した成人では、通常この装置で開くことは出来ません。成人で上顎骨の幅を拡大する必要のある場合は、あらかじめ上顎骨に手術で軽い骨折をさせてから使用します。通常30日前後で拡大は終了します。その後、拡大した正中口蓋縫合部が、新しい骨組織で満たされて後戻りしなくなるまで、この拡大装置はあごの横幅の固定装置(ギブスのような働き)として最低6ヶ月はそのまま口腔内に置く必要があります。
  拡大前X線像
拡大前X線像 拡大直後のX線像
拡大直後のX線像 拡大後半年後のX線像
拡大後半年後のX線像 
 
X線像
 1か月で6mmほど拡大したため、急速な拡大に骨の新生が追いつかないため、拡大直後の正中縫合はまだ骨が出来ていません。そのためX線像では正中部が透過像となり黒く抜けていることが分かります。その後、約半年かけて、正中部に新しい骨が出来ると、新しい癒合部が出来ます。つまりその分だけ、上顎骨の横幅が拡大したことになります。
 
痛みについて
 装着してから3日から4日は噛むときに歯が痛んだり、鼻の奥がツンとするような感じがしたり、目と目の間の鼻の付け根に違和感があったりしますが異常ではありません。縫合部が分離すると逆にあまり痛みはなくなってきます。
 
食事制限について
 基本的には丈夫な装置ですが、ネジの部分は精密部品です。壊れると全部やり直しになってしまいます。ガム、キャラメルのような粘着質のおやつは避けて下さい。また極端に固いお煎餅や、氷の固まりを砕くのは危険ですのでおやめ下さい。
 
歯ブラシについて
 基本的には歯ブラシ程度の力ではずれるようなものではありませんので、普段通りのブラッシングをして下さい。バンドが4個も付いているので歯の裏側に食べ物が挟まりやすくなっています。この部分は特に丁寧に時間をかけて磨くようにしましょう。凹凸が激しいので歯ブラシの毛先が非常に傷みやすくなっています。早めに交換するようにしましょう。特別に”矯正用歯ブラシ”を使う必要はありませんが、ヘッドの小さいものを選んで下さい。
 
 
