| 
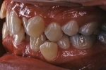
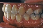
    (左:治療前、右:治療後)
 第4症例 Class Ⅱ divison 2 (overbite 5mm以上)
 
 出題基準:大臼歯関係がclass Ⅱで、上顎中切歯1本を含む2本以上が舌側傾斜(U1-SN 90度以下)、犬歯関係もclass Ⅱであること。ただし、日本人では症例が少ないことを考慮して、U1-SN 100度以下のclass Ⅱ過蓋咬合も認める。抜歯・非抜歯は問わない。
 
 出題の意味:このケースの条件は一般の人には理解しにくいところがある。通常出っ歯というと上の前歯が外に向かっていることを想像するのが普通であるが、U1-SNが90度以下というのは、上の前歯は内側に傾いていることを示している。なんで??。つまりこれは骨格性上顎前突と考えられるもので、上顎が歯並びごと全体が前へ出ていて、それだと上下の前歯があまりにも離れてしまうため、上の前歯が内側に倒れて下の前歯と何とか接触しようとしている状態と考えられる。
 しかし、出題基準にも書いてあるように、このケースは欧米の白人によく見られるケースで、東洋人にはきわめて稀である。そこで類似ケースとして過蓋咬合(かがいこうごう)のケースを代替えとして認めるという配慮をしている。過蓋咬合とは非常に強く深く咬んでいる状態を言う。Overbiteとは前歯の垂直的な重なり具合を示す数値で、5mm以上だと上の前歯が下の前歯をほとんど覆い尽くしている感じになるので、前から見ると下の前歯はほとんど見えない状態になる。こういう状態が典型的な過蓋咬合である。典型的なclassⅡ,division 2のケースは過蓋咬合を合併している。
 これも受験者にとっては難題のケースである。そもそもケースが見つからないのと、あったとしても治療の難易度が高いので、なかなか審査基準をクリアできない。第2症例以上に難しい課題といえる。
 第4症例の詳細を見る 
 |