日本矯正歯科学会専門医課題症例(第8症例)
カテゴリー:早期治療症例
出題基準:乳歯列期もしくは混合歯列期から開始し、2段階で治療が行われたもので早期治療の意義がある症例。
出題の意味:骨格に異常が認められる咬合異常は、乳歯列であっても矯正治療の対象となる場合がある。放置された場合、将来的に外科矯正になるようなケースでも、適切な矯正治療で外科を回避することができる。そのような顎整形力を駆使した矯正治療例を提示する課題である。「早期治療の意味がある」という条件が付いているのは、ただ小さい時から見ていただけというのではだめで、小児期の治療をするかしないかで大きな違いが生じるようなケースでなければ対象にならないという意味である。
 例としては、上顎前方牽引を小児期に行って骨格性反対咬合を改善したものとか、ヘッドギヤで上顎前突を改善したケースなどが考えられる。
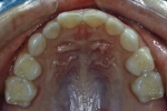
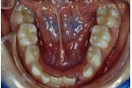
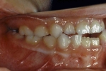
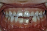
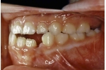
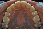
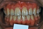
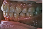
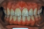
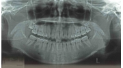
| 初診時
 | 
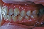
| 治療中
 | 
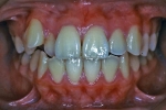
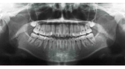
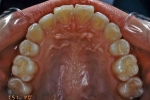
| 治療後3年経過時
 | 
| 治療前後の比較
 | 







































