日本矯正歯科学会専門医課題症例(第1症例)
カテゴリー:Class Ⅰmalocclusion
出題基準:
大臼歯関係class Ⅰで、下顎A.L.D.が-7mm以上または上下顎前突症例。抜歯・非抜歯症例は問わないが、できれば抜歯症例が望ましい。
出題の意味:
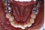
奥歯の位置関係には異常はないが(classⅠの意味)、配列に凸凹がみられるケース。ALDとはArch length Discrepancyの略で、凸凹の程度を示す数値。-7mm以上は、一般的な感覚から言ってかなり凸凹していると感じる状態。上下顎前突とは、上も下も前歯が外側に傾いている状態を言う。前歯が外側に傾くと配列は広がるので見かけ上の凸凹は減るという関係が成り立つ。要するに、奥歯はあまり悪い関係ではないが、凸凹がひどいか前歯の傾きが悪いケースを、できれば小臼歯抜歯をして隙間を作って、残った永久歯を再配列して正しい咬合を作ったケースを示せという課題である。
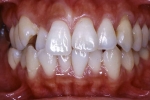
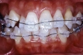
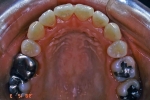
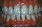
初診時
|
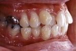
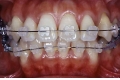
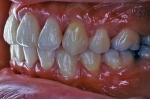
マルチブラケット終了時
|
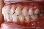
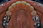
治療後5年経過時
|
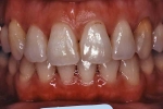
治療前後の比較
|




























