日本矯正歯科学会専門医課題症例(第7症例)
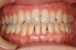
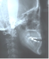
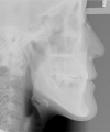
カテゴリー:開咬(overbiteがマイナスのもの)
出題基準:Overbiteがマイナスであることが必須。0mmは認めない。水平的開咬のみのケースは不可。
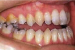
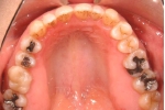
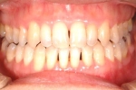
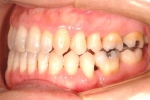
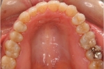
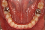
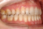
出題の意味:開咬とは奥歯がしっかり咬んでも(完全に閉じても)、前歯が上下的に重ならないケースを言う。Overbiteがマイナスというのは全然重なっていないということを示しており、マイナス方向に数字が大きくなるほど症状はきつくなる。つまり完全に閉じているのに、前歯の隙間から舌が見えるような状態と言うこと。この症状は、舌や唇の筋力や動かし方に原因があるので、歯を矯正するだけではだめで、舌や唇の動かし方を正常にしないと後戻りを起こしやすい。専門医の試験では、治療後2年以上経過した資料を添付して、経過が良好であることを証明しないといけないので、後戻りしやすいこのケースは難易度が高いといえる。舌や唇の動かし方をトレーニングするのは、医院スタッフ(主に筋機能訓練療法を担当する歯科衛生士)であるので、医療機関の総合力が問われる項目である。
| 初診時
 | 
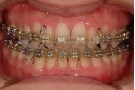
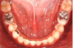
| 治療中
 | 
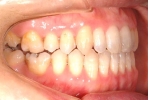
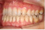
| マルチブラケット終了時
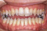
 | 
| 治療後3年経過時
 | 
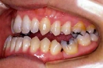
| 治療前後の比較
 | 

























