日本矯正歯科学会専門医課題症例(第2症例)
カテゴリー:Class Ⅱ division 1 (F.M.A.35度以上)
出題基準:大臼歯関係がclassⅡで、F.M.A35度以上、Overjet 6mm以上、U1-SN 110度以上は必須条件で、できればANB 6度以上が望ましい。ただし抜歯、非抜歯は問わない。
出題の意味:大臼歯関係がclass Ⅱというのは、上の奥歯が下の奥歯よりも前にズレていることを示す。出っ歯の人はたいていそういう噛み合わせになっている。つまり出っ歯の症状は前歯だけがズレているのではなく、多くの場合奥歯もズレている。FMAとは顎の角度を示す項目だが、通常は30度以内で、35度を超えるケースはハイアングルケースといって矯正歯科医泣かせである。overjetとは前歯の先端同士が水平的にどれだけ離れているかを示す項目。6mm以上だと、かなり上の前歯の先端が下より前に出ていると見ていい。U1-SNとは上の前歯の傾斜を示す項目で、110度以上だと相当外に傾斜している。ANBとは上下の顎の位置関係を示す数値で、通常は3度くらい。数値が大きいと上顎前突の傾向があり、逆に小さいと下顎前突の傾向がある。
つまり、第2症例は出っ歯の症状の中でも最難関に難しいケースと考えることができる。イメージ的には笑うと上の前歯が相当前に出ているのが誰の目にも明らかで、しかも顎が後ろに下がって唇がすごく閉じにくそうなケースといえる。
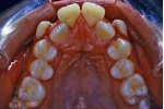
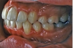
初診時
|
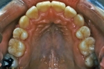
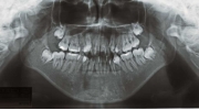
マルチブラケット終了時
|
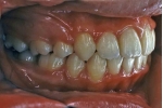
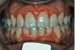
治療後2年経過時
|
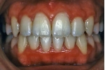
治療前後の比較
|





























