日本矯正歯科学会専門医課題症例(第3症例)
 
カテゴリー:Class Ⅱ division 1(抜歯症例)
 
出題基準:
 大臼歯関係がclassⅡ、overjet 6mm以上、U1-SN 110度以上、ANB 6度以上が望ましいという条件は第二症例と同じ。FMAの条件がはずれた代わりに、抜歯ケースとして治療することを必須とする。
 
出題の意味:
 第2症例に比べると多少条件が緩和された平均的な出っ歯のケース。通常は抜歯して治すことが多いので、付帯条件としても難しさはない。矯正歯科医が日常的に良く遭遇しているケースといえる。第1症例と出題の意図としては同じで、おそらく日常的なケースとして、仕上がりの緻密性を評価する課題と考えられる。
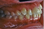
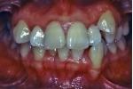
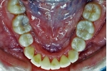
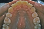
| 初診時
 | 
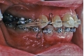
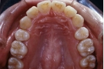
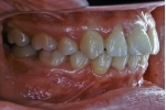
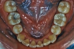
| マルチブラケット終了時
 | 
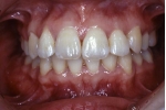
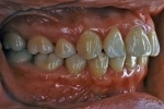
| 治療後2年経過時
 | 
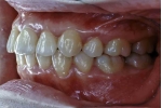
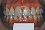
| 治療前後の比較
 | 




























