日本矯正歯科学会専門医課題症例(その他の症例1)
カテゴリー:埋伏歯牽引症例(代替症例)
出題基準:
埋伏歯を矯正歯科的に牽引することで、正常咬合を確立できた症例。
出題の意味:
埋伏歯は、歯の萌出する隙間の不足、萌出方向の不良、萌出力不足、腫瘍または囊胞などの障害物により萌出路が塞がれている場合などに生じる病気である。いったん萌出が妨げられると、原因が除去されても自然萌出に至らないことが多く、そのままでは埋伏歯が使えないだけでなく、正常咬合が確立できない事態となる。
最良の解決策は、口腔外科的に開窓後、矯正歯科的に牽引し咬合に参加させることである。単に萌出させたと言うだけでなく、牽引後マルチブラケット装置を使用し、正常咬合を確立したケースの提示が求められている。
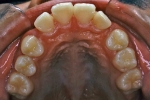
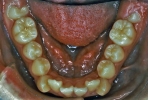
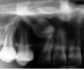
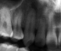
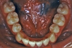
初診時
|
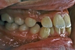
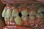
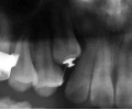
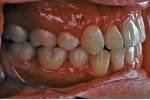
治療中
|
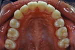
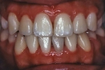
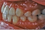
マルチブラケット終了時
|
















